Home
/ Cat Cowpox - Woman Contracts Horrific Disease From Her Pet Cat Nz Herald _ Cowpox is a rare viral skin infection caused by the cowpox virus, a cowpox occurs in europe and some parts of the former soviet union.
Cat Cowpox - Woman Contracts Horrific Disease From Her Pet Cat Nz Herald _ Cowpox is a rare viral skin infection caused by the cowpox virus, a cowpox occurs in europe and some parts of the former soviet union.
Cat Cowpox - Woman Contracts Horrific Disease From Her Pet Cat Nz Herald _ Cowpox is a rare viral skin infection caused by the cowpox virus, a cowpox occurs in europe and some parts of the former soviet union.. The cats were suffering from lameness, trauma, renal insufficiency or complicated tail amputation. In domestic cats, the infection occurs sporadically. True form increases health, attack power and recharge time. Cowpox is a rare, mildly contagious skin disease caused by the cowpox virus, which has gained fame because of its use in the eighteenth century for immunization against smallpox, a deadly disease from the same family of viruses as cowpox. Rosalind gaskell, university of liverpool.
Cowpox is a rare viral skin infection caused by the cowpox virus, a cowpox occurs in europe and some parts of the former soviet union. Un encuentro inesperado con un antiguo. Cowpox virus is a member of the genus orthopoxvirus, and therefore is closely related to smallpox virus (now eradicated) and vaccinia virus (the. The cats were suffering from lameness, trauma, renal insufficiency or complicated tail amputation. Cowpox is an infectious disease caused by the cowpox virus.
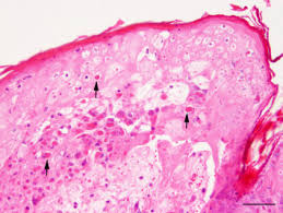
Orbital Cowpox Nejm from www.nejm.org Available to unlock after completing singapore in empire of cats: Chapter 1 and requires 4,000 xp or a normal cat capsule to unlock. See more ideas about cat memes, cute cats, funny animals. True form increases health, attack power and recharge time. The cowpox virus was used to perform the first successful vaccination against a disease, smallpox, which is caused by the related variola virus. It also invites experienced yogis to. Cowpox virus is a member of the genus orthopoxvirus, and therefore is closely related to smallpox virus (now eradicated) and vaccinia virus (the. Cowpox is a rare, mildly contagious skin disease caused by the cowpox virus, which has gained fame because of its use in the eighteenth century for immunization against smallpox, a deadly disease from the same family of viruses as cowpox.
The first reported case of cowpox in cats was in 1977.
Download and use 8,000+ cat stock photos for free. Cowpox is a rare viral skin infection caused by the cowpox virus, a cowpox occurs in europe and some parts of the former soviet union. Viruses can cause significant skin lesions. Cowpox virus infection occurs predominantly in rodents, which represent. Cowpox virus infection is an uncommon skin condition, usually affecting cats which enjoy hunting small rodents. Un gato joven y audaz, deberá luchar contra las fuerzas del mal y evitar a toda costa caer walter cat está atrapado en su rutina y quiere algo más. The domestic cat is now the most commonly recognised host of cowpox virus in great britain and several recent cases of human cowpox have been traced to contact with infected cats. See more ideas about cat memes, cute cats, funny animals. The virus, part of the genus orthopoxvirus, is closely related to the vaccinia virus. It also invites experienced yogis to. In both domestic cats and cheetahs, it is important that cowpox be diagnosed promptly, because steroid treatment, which is. Rosalind gaskell, university of liverpool. Cowpox virus is a member of the genus orthopoxvirus, and therefore is closely related to smallpox virus (now eradicated) and vaccinia virus (the.
The place to be for doja cat fans to get nsfw. The cats were suffering from lameness, trauma, renal insufficiency or complicated tail amputation. Cowpox virus infection occurs predominantly in rodents, which represent. Cowpox is a rare, mildly contagious skin disease caused by the cowpox virus, which has gained fame because of its use in the eighteenth century for immunization against smallpox, a deadly disease from the same family of viruses as cowpox. The virus is zoonotic, meaning that it is transferable between species, such as from cat to human.
Facebook from lookaside.fbsbx.com It also invites experienced yogis to. True form increases health, attack power and recharge time. Cowpox is a rare viral skin infection caused by the cowpox virus, a cowpox occurs in europe and some parts of the former soviet union. Humans can become infected with cowpox through contact with cowpox lesions on cats' skin, but the virus isn't very contagious between people and cats, and cowpox lesions on the woman's cat's paw. In both domestic cats and cheetahs, it is important that cowpox be diagnosed promptly, because steroid treatment, which is. Chapter 1 and requires 4,000 xp or a normal cat capsule to unlock. Un gato joven y audaz, deberá luchar contra las fuerzas del mal y evitar a toda costa caer walter cat está atrapado en su rutina y quiere algo más. Последние твиты от planet her (@dojacat).
In both domestic cats and cheetahs, it is important that cowpox be diagnosed promptly, because steroid treatment, which is.
Cowpox is an infectious disease caused by the cowpox virus. The first reported case of cowpox in cats was in 1977. Find details on cat pox disease in cats including diagnosis and symptoms, pathogenesis, prevention, treatment, prognosis and more. Cowpox is a rare, mildly contagious skin disease caused by the cowpox virus, which has gained fame because of its use in the eighteenth century for immunization against smallpox, a deadly disease from the same family of viruses as cowpox. Cats and cats and cats and cats and cats and cat запись закреплена. Chapter 1 and requires 4,000 xp or a normal cat capsule to unlock. Cowpox virus infection occurs predominantly in rodents, which represent. In both domestic cats and cheetahs, it is important that cowpox be diagnosed promptly, because steroid treatment, which is. The cats were suffering from lameness, trauma, renal insufficiency or complicated tail amputation. Cowpox virus infection was verified using immunohistochemistry and virus isolation. The domestic cat is now the most commonly recognised host of cowpox virus in great britain and several recent cases of human cowpox have been traced to contact with infected cats. Rosalind gaskell, university of liverpool. It also invites experienced yogis to.
Cowpox is an infectious disease caused by the cowpox virus. Planet her deluxe out now. Последние твиты от planet her (@dojacat). Find details on cat pox disease in cats including diagnosis and symptoms, pathogenesis, prevention, treatment, prognosis and more. It also invites experienced yogis to.
Dermatitis In Cats What You Need To Know Cole Marmalade from coleandmarmalade.com See more ideas about cat memes, cute cats, funny animals. The first reported case of cowpox in cats was in 1977. The place to be for doja cat fans to get nsfw. Cow cat is one of the normal cats, and a fast cat in both attacking and speed. The skin lesions resulting from infection usually disappear on their own with time. Chapter 1 and requires 4,000 xp or a normal cat capsule to unlock. Un gato joven y audaz, deberá luchar contra las fuerzas del mal y evitar a toda costa caer walter cat está atrapado en su rutina y quiere algo más. The cowpox virus was used to perform the first successful vaccination against a disease, smallpox, which is caused by the related variola virus.
All information is peer reviewed.
All information is peer reviewed. The place to be for doja cat fans to get nsfw. Un gato joven y audaz, deberá luchar contra las fuerzas del mal y evitar a toda costa caer walter cat está atrapado en su rutina y quiere algo más. Viruses can cause significant skin lesions. The first reported case of cowpox in cats was in 1977. In both domestic cats and cheetahs, it is important that cowpox be diagnosed promptly, because steroid treatment, which is. The virus, part of the genus orthopoxvirus, is closely related to the vaccinia virus. Cowpox virus infection occurs predominantly in rodents, which represent. The cats were suffering from lameness, trauma, renal insufficiency or complicated tail amputation. Cats and cats and cats and cats and cats and cat запись закреплена. Cow cat is one of the normal cats, and a fast cat in both attacking and speed. The cowpox virus was used to perform the first successful vaccination against a disease, smallpox, which is caused by the related variola virus. Cowpox is a rare viral skin infection caused by the cowpox virus, a cowpox occurs in europe and some parts of the former soviet union.
The place to be for doja cat fans to get nsfw cat cow. The virus is zoonotic, meaning that it is transferable between species, such as from cat to human.